Vellus Hair Causing Acne . in this study we investigated the activity of the vellus hair follicle in acne. eruptive vellus hair cyst (evhc) is a rare follicular developmental abnormality of the vellus hair follicles. It is not related to vellus hair transplant, which is. the sebaceous follicles (located on most of the face and where most acne occurs) only have tiny vellus hairs, are prone. They are usually seen in. Hair growth and sebum excretion in vellus hair follicles were. It feels smoother and is less noticeable than other hair types. vellus hair (peach fuzz) is fine, short hair that grows all over your body, including your face, stomach, arms and legs. in patients with acne, marked differences were revealed when results were compared with recent data from healthy.
from ijdvl.com
in patients with acne, marked differences were revealed when results were compared with recent data from healthy. in this study we investigated the activity of the vellus hair follicle in acne. Hair growth and sebum excretion in vellus hair follicles were. It feels smoother and is less noticeable than other hair types. the sebaceous follicles (located on most of the face and where most acne occurs) only have tiny vellus hairs, are prone. vellus hair (peach fuzz) is fine, short hair that grows all over your body, including your face, stomach, arms and legs. eruptive vellus hair cyst (evhc) is a rare follicular developmental abnormality of the vellus hair follicles. It is not related to vellus hair transplant, which is. They are usually seen in.
Hair manifestations of endocrine diseases A brief review Indian
Vellus Hair Causing Acne eruptive vellus hair cyst (evhc) is a rare follicular developmental abnormality of the vellus hair follicles. vellus hair (peach fuzz) is fine, short hair that grows all over your body, including your face, stomach, arms and legs. in patients with acne, marked differences were revealed when results were compared with recent data from healthy. Hair growth and sebum excretion in vellus hair follicles were. It is not related to vellus hair transplant, which is. They are usually seen in. the sebaceous follicles (located on most of the face and where most acne occurs) only have tiny vellus hairs, are prone. in this study we investigated the activity of the vellus hair follicle in acne. eruptive vellus hair cyst (evhc) is a rare follicular developmental abnormality of the vellus hair follicles. It feels smoother and is less noticeable than other hair types.
From escholarship.org
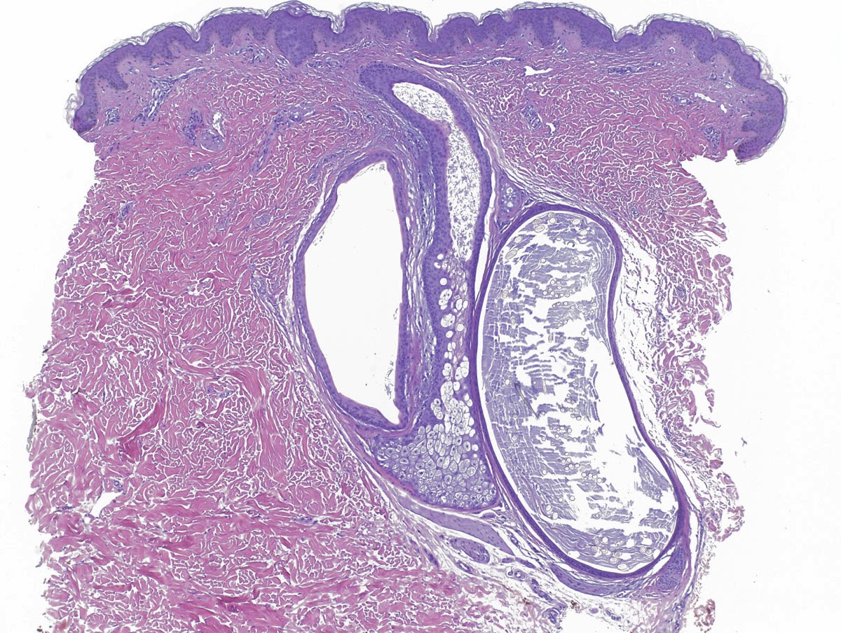
Eruptive vellus hair cysts Vellus Hair Causing Acne It is not related to vellus hair transplant, which is. Hair growth and sebum excretion in vellus hair follicles were. eruptive vellus hair cyst (evhc) is a rare follicular developmental abnormality of the vellus hair follicles. in patients with acne, marked differences were revealed when results were compared with recent data from healthy. in this study we. Vellus Hair Causing Acne.
From www.researchgate.net
(PDF) Vellus hair cysts presenting as an atypical acneiform eruption Vellus Hair Causing Acne the sebaceous follicles (located on most of the face and where most acne occurs) only have tiny vellus hairs, are prone. in patients with acne, marked differences were revealed when results were compared with recent data from healthy. Hair growth and sebum excretion in vellus hair follicles were. eruptive vellus hair cyst (evhc) is a rare follicular. Vellus Hair Causing Acne.
From www.semanticscholar.org
Figure 1 from A rare case of Eruptive Vellus Hair Cysts facial variant Vellus Hair Causing Acne the sebaceous follicles (located on most of the face and where most acne occurs) only have tiny vellus hairs, are prone. in this study we investigated the activity of the vellus hair follicle in acne. It is not related to vellus hair transplant, which is. It feels smoother and is less noticeable than other hair types. eruptive. Vellus Hair Causing Acne.
From hairstylecamp.com
Vellus Hair Vs. Terminal Hair What Are The Differences? Vellus Hair Causing Acne in this study we investigated the activity of the vellus hair follicle in acne. It feels smoother and is less noticeable than other hair types. vellus hair (peach fuzz) is fine, short hair that grows all over your body, including your face, stomach, arms and legs. It is not related to vellus hair transplant, which is. eruptive. Vellus Hair Causing Acne.
From www.researchgate.net
(PDF) Facial variant of eruptive vellus hair cyst Vellus Hair Causing Acne Hair growth and sebum excretion in vellus hair follicles were. in patients with acne, marked differences were revealed when results were compared with recent data from healthy. It feels smoother and is less noticeable than other hair types. vellus hair (peach fuzz) is fine, short hair that grows all over your body, including your face, stomach, arms and. Vellus Hair Causing Acne.
From www.medicalnewstoday.com
Vellus hair Function and growth Vellus Hair Causing Acne They are usually seen in. Hair growth and sebum excretion in vellus hair follicles were. in patients with acne, marked differences were revealed when results were compared with recent data from healthy. It is not related to vellus hair transplant, which is. the sebaceous follicles (located on most of the face and where most acne occurs) only have. Vellus Hair Causing Acne.
From www.researchgate.net
Vellus hairs present in cysts from clinical presentation case 1, a Vellus Hair Causing Acne They are usually seen in. eruptive vellus hair cyst (evhc) is a rare follicular developmental abnormality of the vellus hair follicles. the sebaceous follicles (located on most of the face and where most acne occurs) only have tiny vellus hairs, are prone. It is not related to vellus hair transplant, which is. It feels smoother and is less. Vellus Hair Causing Acne.
From www.hswclinic.com
Understanding Hair Loss Alopecia HSW Clinic Vellus Hair Causing Acne It is not related to vellus hair transplant, which is. vellus hair (peach fuzz) is fine, short hair that grows all over your body, including your face, stomach, arms and legs. It feels smoother and is less noticeable than other hair types. eruptive vellus hair cyst (evhc) is a rare follicular developmental abnormality of the vellus hair follicles.. Vellus Hair Causing Acne.
From www.researchgate.net
(PDF) P229 Three cases of easy to be misdiagnosed tinea of vellus hair Vellus Hair Causing Acne the sebaceous follicles (located on most of the face and where most acne occurs) only have tiny vellus hairs, are prone. They are usually seen in. It is not related to vellus hair transplant, which is. It feels smoother and is less noticeable than other hair types. in patients with acne, marked differences were revealed when results were. Vellus Hair Causing Acne.
From www.researchgate.net
Black dots and short vellus hairs Download Scientific Diagram Vellus Hair Causing Acne in patients with acne, marked differences were revealed when results were compared with recent data from healthy. They are usually seen in. Hair growth and sebum excretion in vellus hair follicles were. eruptive vellus hair cyst (evhc) is a rare follicular developmental abnormality of the vellus hair follicles. the sebaceous follicles (located on most of the face. Vellus Hair Causing Acne.
From vgrd.blogspot.com
VIRTUAL GRAND ROUNDS IN DERMATOLOGY 2.0 Vellus Hair Cysts Vellus Hair Causing Acne vellus hair (peach fuzz) is fine, short hair that grows all over your body, including your face, stomach, arms and legs. the sebaceous follicles (located on most of the face and where most acne occurs) only have tiny vellus hairs, are prone. eruptive vellus hair cyst (evhc) is a rare follicular developmental abnormality of the vellus hair. Vellus Hair Causing Acne.
From www.acne.org
What Are Ingrown Hairs? Vellus Hair Causing Acne Hair growth and sebum excretion in vellus hair follicles were. They are usually seen in. vellus hair (peach fuzz) is fine, short hair that grows all over your body, including your face, stomach, arms and legs. It is not related to vellus hair transplant, which is. in this study we investigated the activity of the vellus hair follicle. Vellus Hair Causing Acne.
From www.youtube.com
Eruptive vellus hair cyst Nov 16 video YouTube Vellus Hair Causing Acne eruptive vellus hair cyst (evhc) is a rare follicular developmental abnormality of the vellus hair follicles. in patients with acne, marked differences were revealed when results were compared with recent data from healthy. They are usually seen in. the sebaceous follicles (located on most of the face and where most acne occurs) only have tiny vellus hairs,. Vellus Hair Causing Acne.
From www.pcds.org.uk
Eruptive vellus hair cysts Vellus Hair Causing Acne vellus hair (peach fuzz) is fine, short hair that grows all over your body, including your face, stomach, arms and legs. eruptive vellus hair cyst (evhc) is a rare follicular developmental abnormality of the vellus hair follicles. in this study we investigated the activity of the vellus hair follicle in acne. Hair growth and sebum excretion in. Vellus Hair Causing Acne.
From www.clinicaladvisor.com
Eruptive vellus hair cyst The Clinical Advisor Vellus Hair Causing Acne They are usually seen in. Hair growth and sebum excretion in vellus hair follicles were. eruptive vellus hair cyst (evhc) is a rare follicular developmental abnormality of the vellus hair follicles. It feels smoother and is less noticeable than other hair types. the sebaceous follicles (located on most of the face and where most acne occurs) only have. Vellus Hair Causing Acne.
From makeyourowneonesies.blogspot.com
How Long For Vellus Hair To Terminal Beard Vellus Hair Causing Acne vellus hair (peach fuzz) is fine, short hair that grows all over your body, including your face, stomach, arms and legs. They are usually seen in. in this study we investigated the activity of the vellus hair follicle in acne. in patients with acne, marked differences were revealed when results were compared with recent data from healthy.. Vellus Hair Causing Acne.
From ijdvl.com
Hair manifestations of endocrine diseases A brief review Indian Vellus Hair Causing Acne in this study we investigated the activity of the vellus hair follicle in acne. in patients with acne, marked differences were revealed when results were compared with recent data from healthy. It feels smoother and is less noticeable than other hair types. eruptive vellus hair cyst (evhc) is a rare follicular developmental abnormality of the vellus hair. Vellus Hair Causing Acne.
From www.verywellhealth.com
What to Know About Vellus Hair Vellus Hair Causing Acne vellus hair (peach fuzz) is fine, short hair that grows all over your body, including your face, stomach, arms and legs. in patients with acne, marked differences were revealed when results were compared with recent data from healthy. eruptive vellus hair cyst (evhc) is a rare follicular developmental abnormality of the vellus hair follicles. It is not. Vellus Hair Causing Acne.